PSYOP-24 Incoming: Now MASSACHUSETTS is Hit by Wave of 'White Lung' Pneumonia in Children as OHIO County Issues Similar Warning - after China & Europe Saw Surges in Cases & Hospitalizations
Exactly as this Substack predicted, first they rollout the followup “pandemic” in China…
🔥🔥🔥CYBER MONDAY Followup "Pandemic" Sale: Chinese hospitals ‘overwhelmed with sick children’ after surge in respiratory illness
From “pandemics” to social credit score system slavery, whatever is perpetrated in China serves as a trial balloon for what will eventually be instituted in the West. According to a recent NBC news article, Hospitals in northern China appear to be “overwhelmed with sick children” as the country grapples with a surge in respiratory illnesses and clusters…
…and then they deploy similar “pandemic” in America.
According to a recent fear mongering article in the Mockingbird outlet Daily Mail UK:
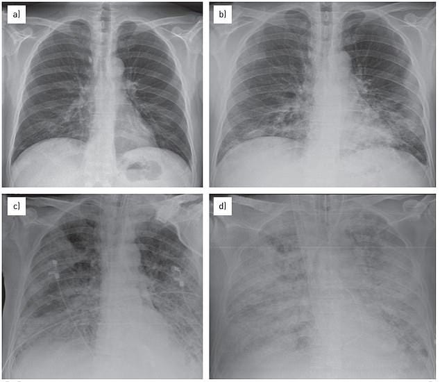
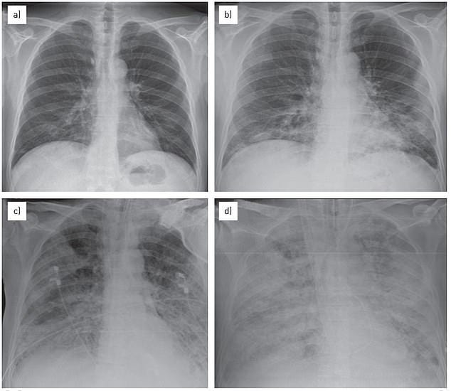
Doctors in parts of Massachusetts and Ohio are reporting a spike in child pneumonia cases similar to the outbreak spreading in China and parts of Europe.
In Warren County, just 30 miles outside Cincinnati, there have been 142 pediatric cases of the condition — dubbed 'white lung syndrome' — since August, a figure health officials there described as 'extremely high'.
It is worth noting that Warren County is the most affluent county in Ohio, and it happens to be the most Democratic; thus, we may easily infer that mask compliance and DEATHVAX™ uptake was and continues to be extremely high, with adults and children alike suffering from VAIDS that is further exacerbated by rebreathing CO2 and toxins.
As an aside, the deleterious effects of masking were always known to the PSYOP-19 perpetrators, especially Dr. Mengele 2.0 aka Dr. Fauci:
Blast from the Past: "Spanish Flu" Mortality According to Dr. Fauci & What Really Caused Deaths
No one could ever accuse Dr. Mengele 2.0 & Co. of not doing their due diligence prior to rolling out PSYOP-19, soon to be PSYOP-23. From all of the “Covid” patents between the CDC, NIH, Fauci, et al. that they racked up over the preceding decades, to the public admissions of Fauci’s pals on how to profit from the next “outbreak”, to the collusion between…
The article goes on frame this latest “outbreak” in less serious terms:
'Not only is this above the county average, it also meets the Ohio Department of Health definition of an outbreak,' the county's health department said Wednesday.
Meanwhile, in western Massachusetts, physicians are seeing 'a whole lot' of walking pneumonia, a milder form of the lung condition, which is being caused by a mixture of bacterial and viral infections.
Neither outbreak is being caused by a novel pathogen and not all of the pneumonia cases are being caused by the same infection. Experts say a mixture of several seasonal bacterial and viral bugs are hitting at once, putting pressure on hospitals.
It has raised fears that the outbreak that has overwhelmed hospitals China could hit the US this winter. Several European countries are battling similar crises.
Only to reinforce the fear porn:
Circling back the real reason for these “outbreaks” in VAIDS and masking:
But he would not be entirely surprised if 'some places in the US are above baseline' this year, as it appears several bacterial and viral infections are rebounding post-Covid.
An 'ongoing investigation' is underway in Ohio into what is triggering the wave of illness.
Patients in the county - which is home to around 200,000 people - have tested positive for mycoplasma pneumoniae, a bacterial lung infection for which some antibiotics are useless, adenovirus, a normally benign respiratory infections, and strep.
Lest we forget about the ol’ seasonal common cold RSV:
In Massachusetts, doctors say the main issue is RSV, a respiratory virus that kills more than 10,000 Americans each year, mostly young children and the elderly.
Dr John Kelley, from Redwood Pediatrics in East Longmeadow, told Western Mass News: 'This is the season for RSV and we're seeing a whole lot of it… a lot of kids with upper viral respiratory infections, cough, runny nose, some fevers and the thinking with RSV is that it can cause lower viral respiratory infections, so they get spread to your lungs.'
Children and adults that have been repeatedly “vaccinated” with Modified mRNA poisons can easily succumb to a common cold as a function of their severely compromised immune systems, even if they have been claiming to “feel fine” post genetic modification.
Of course, many excuses all at once to coverup the real causes, more at crimes, are necessary:
Dr Adalja believes the pneumonia outbreaks cropping up around the world could be due to the 'cyclical' nature of mycoplasma.
'Mycoplasma goes through epidemic cycles every few years and that may be what's occurring globally at the moment.'
He said China may be getting hit by a double-whammy of viral and bacterial infections. China is entering its first winter without pandemic restrictions, and is reporting surges in Covid, flu and RSV as well as mycoplasma.
And there we have it: “China is entering its first winter without pandemic restrictions…” That is the crucial seeding of what is on deck: more LOCKDOWNS, and more DEATHVAX™.
The article concluded by lightly throwing the newly installed Center for Disease Crimes (CDC) director and bona fide sociopath under the bus:
CDC director Dr Mandy Cohen said while testifying in Congress today that the uptick in respiratory illnesses in China was not down to a novel pathogen.
Dr Cohen told the House Energy and Commerce Subcommittee: 'We do not believe this is a new or novel pathogen.
'We believe this is all existing [pathogens] — meaning Covid, flu, RSV, mycoplasma. But they are seeing an upsurgence.'
The CDC has been coming under pressure to reveal everything it knows about the China pneumonia outbreak, with members of Congress sending a letter to the agency yesterday.
China has been recording a surge in childhood cases of pneumonia since May which only came to light last month.
What the CDC “believes” and advises has little to do with actual science, or actual diseases for that matter. Again, this is all due to VAIDS and masking, and the CDC is simply now testing the waters to gauge the level of prospective societal compliance for their followup PSYOP-24.
Because as this Substack has warned for well over a year now, expect Winter 2024 to be especially ugly for all highly “vaccinated” regions around the world.
Please use code 2SGPET to receive discounts on the below lifesaving products that will be your absolute best defense against all of upcoming “outbreaks” and “pandemics” and “vaccine” adverse events that the democidal governments and globalist “health” agencies are perpetrating:
They wand you dead.
Do NOT comply.









Ah, yes. This time around they have to use kids - after all, they’ve pretty well killed off the grannies.
The usual Pharma hyenas are frantically ramping up RSV production so alleged governments can spend more money they’ll have to print in order to get ripped off again.
Meanwhile, the CDC wants either infants or their mothers to take this new untested, liability-free (for Pharma, not the targets) jab. And of course the over 60s - too many of them still around.
At least we’ll see whether people really have learned anything these past four years about not trusting their governments and the medical ‘profession’, aka the new ‘oldest profession’.
You’ve pretty much been a real-life crystal ball since this farce began.