Monkeypox Fears May Rescue Endangered Corporations
It's a small club, and you won't survive it.
More manufactured “pandemics”.
More manufactured fear.
More manufactured DEATHVAX™.
More manufactured profits.
More manufactured depopulation.
More manufactured posthuman.
More manufactured Great Reset.
by Whitney Webb
Two corrupt companies were in rocky financial territory just a few weeks ago. Now, with concerns over a global monkeypox outbreak being hyped by media and global health organizations alike, the worries – and sins – of these two firms are quickly being forgotten.
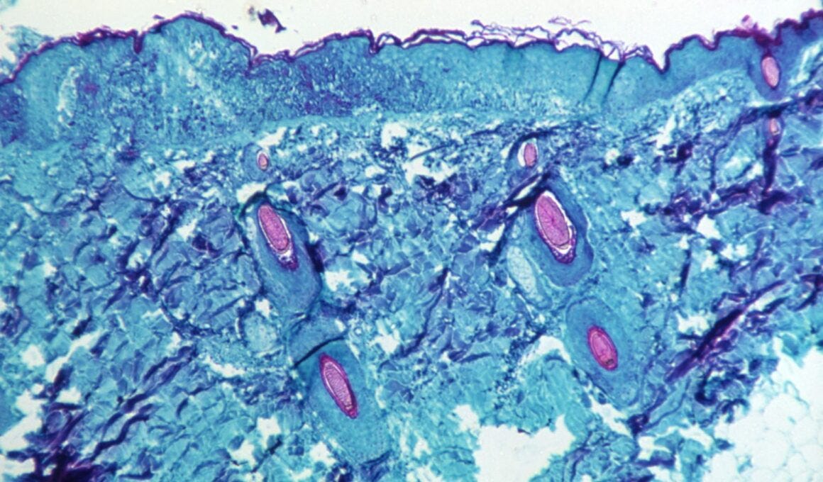
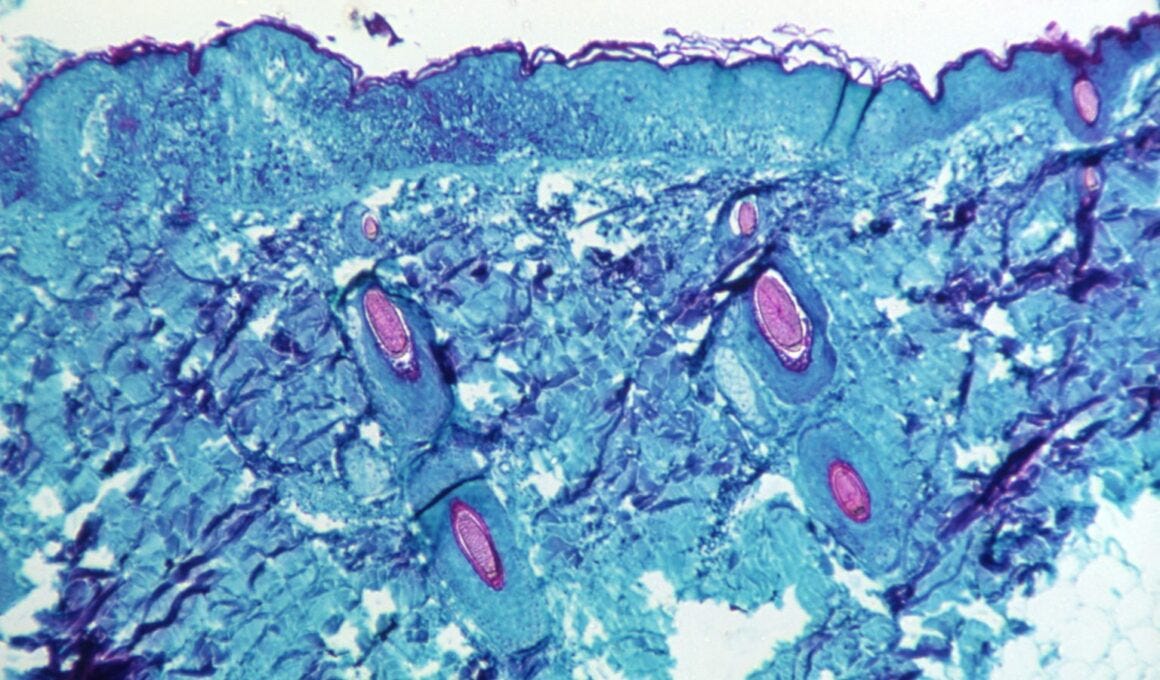
In recent days, concern over a global outbreak of monkeypox, a mild disease related to smallpox and chickenpox, has been hyped in the media and health ministries around the world, even prompting an emergency meeting at the World Health Organization (WHO). For some, fears have centered around monkeypox being the potential “next pandemic” after Covid-19. For others, the fear is that monkeypox will be used as the latest excuse to further advance draconian biosecurity policies and global power grabs.
Regardless of how the monkeypox situation plays out, two companies are already cashing in. As concern over monkeypox has risen, so too have the shares of Emergent Biosolutions and SIGA Technologies. Both companies essentially have monopolies in the US market, and other markets as well, on smallpox vaccines and treatments. Their main smallpox-focused products are, conveniently, also used to protect against or treat monkeypox as well. As a result, the shares of Emergent Biosolutions climbed 12% on Thursday, while those of SIGA soared 17.1%.
For these companies, the monkeypox fears are a godsend, specifically for SIGA, which produces a smallpox treatment, known by its brand name TPOXX. It is SIGA’s only product. While some outlets have noted that the rise in the valuation of SIGA Technologies has coincided with recent concerns about monkeypox, essentially no attention has been given to the fact that the company is apparently the only piece of a powerful billionaire’s empire that isn’t currently crumbling.
That billionaire, “corporate raider” Ron Perelman, has deep and controversial ties to the Clinton family and the Democratic party as well as troubling ties to Jeffery Epstein. Aside from his controlling stake in SIGA, Perelman has recently made headlines for rapidly liquidating many of his assets in a desperate bid for cash.
Similarly, Emergent Biosolutions has also been in hot water. The company, which has troubling ties to the 2001 Anthrax attacks, came under fire just under two weeks ago for engaging in a “cover up” over quality control issues relating to their production of Covid-19 vaccines. A Congressional investigation found that quality control concerns at an Emergent-run facility led to more than 400 million doses of Covid-19 vaccines being discarded. The Emergent factory in question had been shut down by the FDA in April 2021. They were allowed to reopen last August before the government terminated the contract. Given that the majority of the company’s business is tied to US government contracts, the loss of this contract, and the accompanying poor publicity, the news that its smallpox vaccine may soon be of international interest is likely seen as a godsend by the company.
Notably, this the second time in a year that both companies have benefitted from pandemic or bioterror fears propagated by the media. Last November, speculation rose that a re-emergence of the eradicated virus that causes smallpox would soon take place. This first began with Bill Gates’ comments on the prospects of smallpox bioterrorism during a November 4th, 2021 interview and was followed by the November 16th announcement of a CDC/FBI investigation into 15 suspicious vials labeled “smallpox” at a Merck facility in Philadelphia. Now, roughly six months later, the same fears are again paying off for the same two companies.
A Killer Enterprise
Emergent Biosolution was previously known as BioPort. The company was founded by Fuad el-Hibri, a Lebanese businessman, who leveraged his contacts with powerful US former military officials and politicians, to take control of a flailing Michigan factory. It was the only factory authorized to produce an anthrax vaccine.
The anthrax vaccine was known to have major problems even before BioPort had acquired it, and is believed by many investigators to be one of the main causes of “Gulf War” syndrome. The vaccine itself, originally developed at Fort Detrick, had little to no safety track record at the time it was administered to US troops in the First Gulf War – a problem that was never remedied. However, its chronic safety issues and its clumsy, multi-dose regimen would later prompt BioPort/Emergent Biosolutions to spend years developing a new formulation of its anthrax vaccine.
The creation of BioPort coincided with the Clinton administration’s efforts to mandate the anthrax vaccine for all members of the US Armed Forces. With control over the only source of anthrax vaccine, BioPort was poised to make a killing.
Once the company acquired the Michigan facility, it took large amounts of US government funds, ostensibly to make improvements at the site. However, the company declined to use the funds to make the necessary repairs, instead spending that money on its executives’ offices, as opposed to the vaccine factory, and millions more on bonuses for “senior management.” Pentagon auditors would later find that still millions more had gone “missing” and BioPort’s staff were unaware of the cost of producing a single dose of the vaccine. Despite the clear mismanagement and corruption, BioPort demanded to be bailed out by the Pentagon, and they were. Meanwhile, the Michigan facility lost its license after a government inspection found numerous safety issues.
However, by August 2001, BioPort stood to lose the Pentagon contracts – its only source of income. The Pentagon began preparing a report, due to be released in September 2001, that would detail a plan for letting BioPort go. Thanks to the September 11, 2001 attack on the Pentagon, that report was never released. Shortly thereafter, the 2001 anthrax attacks began.
Just months before, BioPort had contracted Battelle Memorial Institute to help rescue its flailing vaccine program. The deal gave Battelle “immediate exposure to the vaccine” and it was used in connection with the Pentagon-funded, gain-of-function anthrax program that involved both Ken Alibek and William C. Patrick III, two bioweapons experts with deep ties to the CIA. That program was housed at Battelle’s West Jefferson facility in Ohio. That facility is believed by many investigators to be the source of the anthrax used in the 2001 attacks.
The ensuing panic from the anthrax attacks led the Department of Health and Human Services (HHS) to intervene. They gave BioPort its license back in January 2002 despite persisting safety concerns at its vaccine production facility in Michigan. BioPort was not content to merely see its past contracts with the Pentagon restored, however, as it began lobbying heavily for new contracts for anthrax vaccines intended for American civilians, postal workers and others. They would get them, largely thanks to HHS’ then-counter-terrorism adviser and soon to be HHS’ newest Assistant Secretary — Jerome Hauer. Hauer would later join the board of BioPort, after it reformed as Emergent Biosolutions, in 2004.
Such examples of cronyism are more common than not when it comes to Emergent Biosolutions. Indeed, the company has frequently relied on individuals who spend their careers passing through the “revolving door” between the pharmaceutical industry and government, particularly those who also moonlight as bioterror alarmists. One of the main individuals critical to the company’s success over the years has been Robert Kadlec. Kadlec served as the top bioterror advisor to the Pentagon in the weeks leading up to the 2001 anthrax attacks. Months prior, he had participated in the June 2001 simulation Dark Winter, which “predicted” major aspects of the subsequent anthrax attacks. Kadlec subsequently crafted much of the legislation that would create the country’s subsequent bioterror/pandemic response policy, including BARDA and the Strategic National Stockpile.
Soon after leaving government, Robert Kadlec helped found a new company in 2012 called “East West Protection,” which develops and delivers “integrated all-hazards preparedness and response systems for communities and sovereign nations.” The company also “advises communities and countries on issues related to the threat of weapons of mass destruction and natural pandemics.”
Kadlec formed the company with W. Craig Vanderwagen, the first HHS Assistant Secretary for Preparedness and Response (a position Kadlec had helped write into law and would later hold himself). The other co-founder of East West Protection was Fuad El-Hibri, the founder of BioPort/Emergent Biosolutions, who had just stepped down as Emergent’s CEO earlier that year.
Kadlec then became a consultant. Kadlec’s consultancy firm, RPK Consulting, netted him $451,000 in 2014 alone, where he directly advised Emergent Biosolutions as well as other pharmaceutical companies like Bavarian Nordic. Kadlec was also a consultant to military and intelligence contractors, such as the DARPA-backed firm Invincea and NSA contractor Scitor, which was recently acquired by SAIC.
Kadlec would return to government as HHS ASPR under Trump, a position which he held at the time the Covid-19 crisis began. The year prior, in 2019, Kadlec had conducted a months-long simulation focused on a global pandemic originating in China called Crimson Contagion. Once the Covid-19 crisis began in earnest, he played a major role in securing Covid-19 vaccine contracts for Emergent Biosolutions, despite his conflicts of interest, some of which he had declined to disclose upon being appointed to serve as ASPR.
Emergent Biosolutions’ pattern of corrupt behavior, beginning with its anthrax vaccine, can be seen with its recent actions as it relates to its production of Covid-19 vaccines. Per the recent Congressional report, released just days before the recent spike in concern over monkeypox began, Emergent lab workers “intentionally sought to mislead government inspectors about issues” at its Baltimore-based plant and also repeatedly “rebuffed” efforts by AstraZeneca and Johnson & Johnson to inspect their facilities. “Despite major red flags at its vaccine manufacturing facility, Emergent’s executives swept these problems under the rug and continued to rake in taxpayer dollars,” House Oversight and Reform Committee Chairwoman Carolyn Maloney (D-NY) stated upon the report’s release. Yet such “major red flags” can be found throughout the company’s entire history, for those willing to take the time to look.
Just days after the Congressional report was released, Emergent Biosolutions announced that it would acquire the exclusive worldwide rights to the “first FDA-approved Smallpox Oral Antiviral for all ages” from the company Chimerix. The drug, called TEMBEXA, is only for the treatment of smallpox, which the company refers to as “a high priority public health threat.” The press release on the company’s acquisition of TEMBEXA states that multi-million US government contracts for the product are anticipated. The FDA formally approved the drug last June.
Emergent Biosolutions also has the rights to the smallpox vaccine known as ACAM2000, which can also be used to treat monkeypox. The vaccine, originally produced by Sanofi, was acquired by the company in 2017. As a result, the company has an essential monopoly over smallpox vaccines as ACAM2000 is “the only vaccine licensed by the FDA for active immunization against smallpox disease for people determined to be at high risk of smallpox infection.”
Given their track record, it’s worth asking why Emergent Biosolutions has been working in recent months to pivot much of its business into smallpox treatments. However, there is no speculation needed when observing that the current monkeypox fears and helping rescue the company, whose shares had fallen some 26% year to date before concern over the recent monkeypox outbreak began to grow.
Whatever comes of the monkeypox situation, Emergent Biosolutions’ decades-long track record is undeniably one of corruption and cronyism.
“BioArmor” for Ron Perelman’s Flailing Business Empire
SIGA Technologies, which likens its products to “Human BioArmor”, features a quote from Bill Gates at the top of its about page. The quote reads: “[…] the next epidemic could originate on the computer screen of a terrorist intent on using genetic engineering to create a synthetic version of the smallpox virus […]” The quote is from Bill Gates’ speech to the 2017 Munich Security Conference, where he used to the threat specifically of smallpox to argue that “health security” and “international security” be merged. Notably, last March, the Munich Security Conference hosted a simulation of a global pandemic caused by a “genetically engineered monkeypox virus.”
SIGA is one example of a company that seeks to find its niche in the middle of “health security” and “international security.” It specifically provides “solutions for unmet needs in the health security market that comprises medical countermeasures against chemical, biological, radiological, and nuclear (CBRN) threats, as well as emerging infectious diseases.” The majority of contracts for CBRN medical countermeasures in the US are funded by the Pentagon. While it promotes itself as a CBRN threat-focused company, SIGA is, for now, singularly focused on smallpox.
Indeed, SIGA Technologies is only currently profitable in the event of an actual outbreak of smallpox or a related disease, or when fear of a smallpox bioterror event is high. Specifically, concern over the latter has led to the company to win government contracts to produce TPOXX for the Strategic National Stockpile (SNS). This is because TPOXX is only used to treat active smallpox or monkeypox infection, not prevent it. This means that it is only useful if smallpox, monkeypox or a related disease is actively infecting people or if there is a high risk that one of these diseases will soon infect large groups of people. TPOXX was first approved in 2018 by the FDA and was approved by the European Medicine Agency (EMA) this past January. The FDA approved an intravenous version of TPOXX just this past Thursday. Overall, SIGA has received over $1 billion from the US government to develop TPOXX.
SIGA is currently partnered with HHS’ BARDA, the Department of Defense, the CDC and the NIH. Another partner is Lonza, a European pharmaceutical manufacturing firm that is partnered with both the World Economic Forum and Moderna. SIGA’s CEO, Phillip Gomez, is an alumni of PRTM Consulting, where he would have worked closely with Robert Kadlec, as the two men overlapped as directors of the firm and both worked advising government agencies on matters of public health and biodefense.
SIGA is also notable because it is possibly the only company in the business empire of corporate raider Ron Perelman that is not attached to growing mountains of debt. Perelman is one of the notorious corporate raiders from the 1980s who conducted corporate takeovers fueled by junk bonds, particularly those connected to Michael Milken’s Drexel Burnham Lambert. Perelman’s business tactics have long been informed by his volcanic temper and his ruthlessness, with former Salomon Brothers CEO John Gutfruend once remarking that “believing Mr. Perelman has no hostile intentions is like believing the tooth fairy exists.”
Perelman is also known for being a long-time patron of the Clinton family, even though, more recently he donated to Donald Trump’s political campaigns. Perelman apparently first became interested in courting influence with the Clintons after marrying Patricia Duff in 1994. Duff was deeply connected to the Democratic Party, having worked for Democratic pollster Pat Cadell, and she had also worked for the House panel that “investigated” the assassinations of John F. Kennedy and Martin Luther King Jr. Prior to marrying Perelman, she had been married to movie mogul Michael Medavoy and had “introduced Clinton to the Hollywood establishment,” according to the Washington Post.
As Perelman’s wife, Duff styled herself a leading Democratic fundraiser, with the 1995 fund-raising dinner being emblematic of that. Also, in 1995, Perelman attended a $1,000-a-plate dinner in New York for the Clintons, where Perelman sat across from the President, as well as a state dinner for Brazil’s president at the White House.
For Perelman, his generosity to the Clinton political machine resulted in an appointment by Clinton to the board of trustees of the Kennedy Center in 1995. Other, less public gestures from the Clintons were likely, as Perelman offered much more to the First Family than he appears to have received in return. Perhaps most notable of Perelman’s favors for Bill Clinton was his offering of jobs to scandal-ridden members of his administration, Webster Hubbell and Monica Lewinsky, in the wake of their respective controversies. However, after the job offers were publicly reported, both Hubbell and Lewinsky were let go, though the offers later caught the attention of independent counsel Ken Starr. Starr never subpoenaed or investigated Perelman or the offers he had made to Hubbell or Lewinsky.
The controversial hirings had been arranged between Perelman and Clinton advisor Vernon Jordan, who sat on the board of Revlon, a Perelman-controlled company, while his wife was on the board of another Perelman-owned firm. Jordan was known as Clinton’s “conduit to the high and mighty” and had taken Clinton to the 1991 Bilderberg conference. On the decision to hire Lewinsky following the scandal, a former business associate of Perelman’s told the Washington Post that “It’s like the Mafia, it’s all done in code,” adding that “I can assure you that Ronald made the decision to give Lewinsky the job. And I can assure you he wouldn’t want to know why Jordan was asking.”
In 1995, Perelman held a Clinton fundraiser at his mansion, with guests including singer Jimmy Buffett, Miami Vice actor Don Johnson, actor Michael Douglas’ then-wife Deandra and DNC co-chair Don Fowler. Other guests included A. Paul Prosperi, a corrupt Clinton crony, and the now infamous Jeffrey Epstein. Clinton himself attended the fundraiser. According to the Palm Beach Post, guests had donated at least $100,000 to the DNC to attend the dinner with the President. This was, of course, in the lead up to the 1996 election, and the DNC would later come under heavy scrutiny due to illegal fundraising. This fundraiser was not Epstein’s only interaction with Perelman – Perelman would later be listed as a frequent dinner guest of Epstein’s in the 2003 Vanity Fair profile penned by Vicky Ward and is listed in Epstein’s black book of contacts.
For most of the 2000s, Perelman has sat atop a massive, ever-growing fortune. Yet, since 2020, Perelman has “been unloading assets ‘A lot of them. Rapidly.’” It stated with sales of valuable paintings at Sotheby’s and soon extended to Perelman’s investment company MacAndrews & Forbes, which disposed of its interest in two companies that same year, including $1 billion in shares in Scientific Games. According to MoneyWeek, Perelman’s net worth dropped from $19 billion in 2018 to $4.2 billion in late 2020, “prompting speculation that he’s runnings out of money.” Over the course of last year, Perelman has continued to “downsize”, looking to sell off his estate in the Hamptons for $115 million, another 57-acre estate worth $180 million and two townhouses in Manhattan’s Upper East Side for $60 million.
Other assets held by Perelman’s company MacAndrews & Forbes are also drowning in debt. One of the few assets of the company that isn’t currently haemorrhaging money or struggling with debt is its shares in SIGA Technologies. Perelman’s main company, MacAndrews & Forbes, has long been one of SIGA’s biggest investors and remains its largest shareholder, controlling 33% of all shares.
Since Perelman got involved with SIGA, accusations of corruption have plagued the company. For instance, in May 2011, SIGA was given a no-bid contract worth about $433 million to develop and produce 1.7 million doses of anti-viral drug for smallpox. At the time there was no evidence the smallpox drug in question was capable of treating the disease and there was alarm among some HHS staffers that SIGA’s return on investment from the contract was “outrageous.” The contract began to be investigated over concerns that the contract had been awarded to SIGA precisely because it was controlled by Perelman, who had donated heavily to Barack Obama. At the time, CNN noted the following about Perelman’s connections to the Obama White House:
“Ronald Perelman is controlling shareholder of Siga Technologies and a longtime Democratic Party activist and fundraiser. He’s also a large contributor to Republicans, but has been a particular friend of the Obama White House.
Also on Siga’s board of directors is Andy Stern, former president of the Service Employees International Union, who has had close relations with the Obama administration and who has supported President Barack Obama’s health care initiatives.”
As a result of these concerns and the potential conflict of interest, a congressional investigation began. Days after learning that this key government contract may be in jeopardy, SIGA executives sold off large amounts of company stock at an average price of $13.46 per share, netting its Chief Executive Officer and Chief Scientific Officer at the time millions of dollars. A month later, the company announced that its contract had been downsized and shares in the company fell to under $2 by that December.
Given past “pay-to-play” accusations around Perelman’s role in the firm during the Obama administration, when President Joe Biden served as Vice President, what are we to make of the recent media hype around monkeypox? Or concerns raised last year of a bioterrorism event involving smallpox?
Perhaps it’s more important to ask other questions – why has Perelman’s role in SIGA been largely obfuscated or totally ignored by recent reporting on the company? Similarly, why has Emergent Biosolutions’ horrific track record also been excluded from recent reports, including the major complaints from Congress made against the company less than two weeks ago? It seems the fear being generated around monkeypox is not only boosting shares for these two rotten companies, it’s helping the public forget their past sins.
Do NOT comply.






This is a "formula" we have seen time and time again. HIV, SARS, Anthrax, Biowarfare agents in general. just imagine all the "stuff" we don't know about, and it has been so "successful" that why would they stop now, when they have fully weaponized not just the whole Big Pharma industry, but Modern Medicine itself!
Yes it is about MONEY, but they still want to kill all of us!
If you are an investor please beware of the stocks in both companies. The totally corrupt Emergent BioSolutions has been living on shaky ground for a long time and probably wouldn’t exist today if it had not been for Robert Kadlec. If the fearporn on monkeypox fails the stock will plunge. I think this will be the case because the hype of this disease won’t hold water.